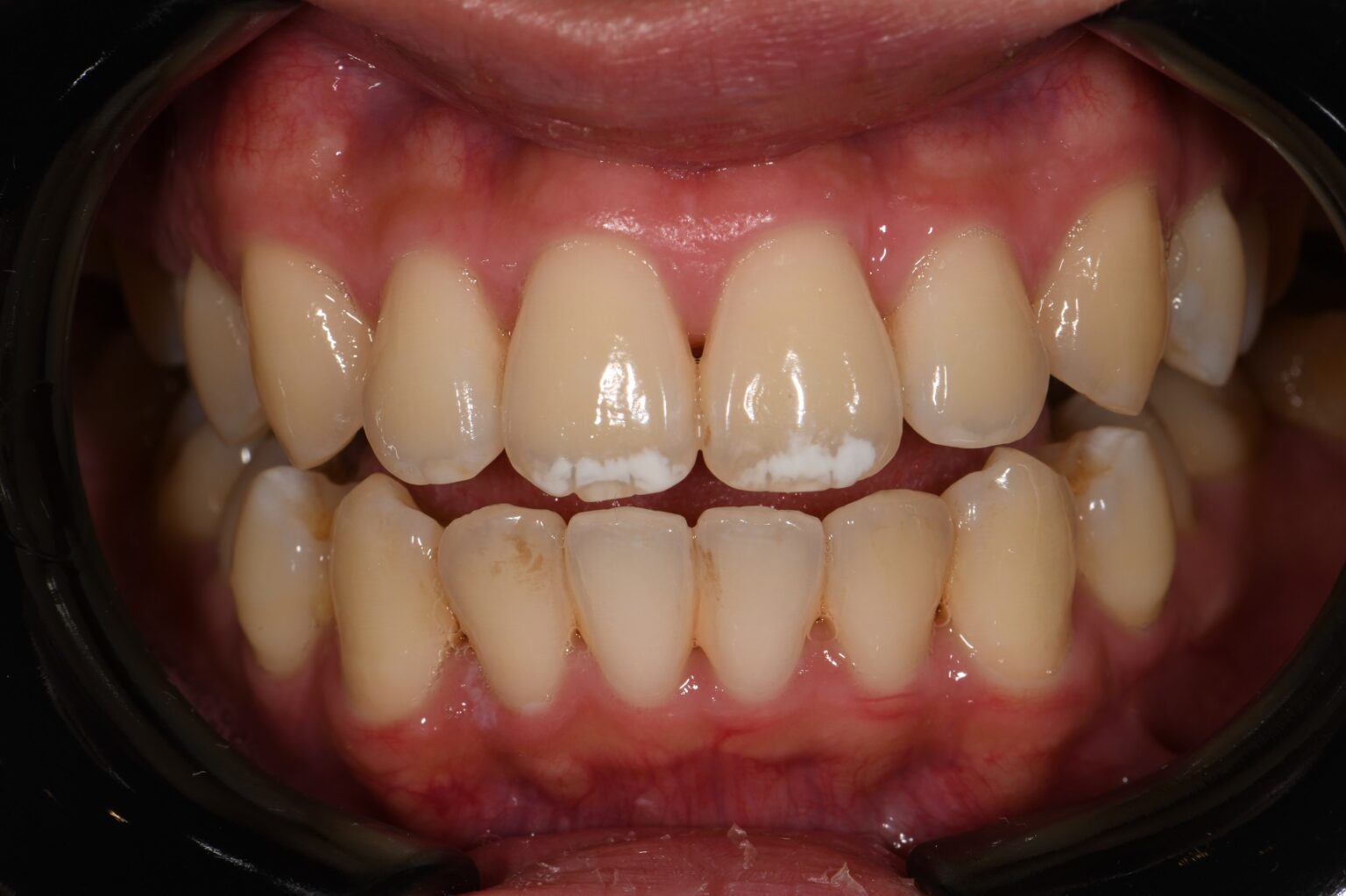
Dmg Resin Infiltration . icon represents a revolutionary new approach to treat incipient caries: The infiltration concept (icon) is a very effective treatment to prevent further progression. infiltration treatment with icon vestibular is a simple, gentle and effective procedure for treating white spots caused by caries,. icon proximal enables caries treatment without drilling and without the unnecessary loss of healthy tooth structure. icon vestibular provides a simple treatment option for discolouration on smooth surfaces. the use of elastic separators prior to proximal infiltration of primary enamel lesions. the actual infiltration treatment includes the following steps: Thanks to microinvasive infiltration with a highly fluid. the icon (infiltration concept) was designed as a minimally invasive resin infiltration system for treating incipient caries in patients of all. Etching for 2 minutes (maybe longer when etching smooth surfaces),.
from acmeonlinemall.com
icon represents a revolutionary new approach to treat incipient caries: the use of elastic separators prior to proximal infiltration of primary enamel lesions. infiltration treatment with icon vestibular is a simple, gentle and effective procedure for treating white spots caused by caries,. icon proximal enables caries treatment without drilling and without the unnecessary loss of healthy tooth structure. Etching for 2 minutes (maybe longer when etching smooth surfaces),. The infiltration concept (icon) is a very effective treatment to prevent further progression. the icon (infiltration concept) was designed as a minimally invasive resin infiltration system for treating incipient caries in patients of all. icon vestibular provides a simple treatment option for discolouration on smooth surfaces. Thanks to microinvasive infiltration with a highly fluid. the actual infiltration treatment includes the following steps:
DMG Icon Resin Infiltration Acme Online Mall
Dmg Resin Infiltration icon proximal enables caries treatment without drilling and without the unnecessary loss of healthy tooth structure. icon proximal enables caries treatment without drilling and without the unnecessary loss of healthy tooth structure. icon represents a revolutionary new approach to treat incipient caries: the icon (infiltration concept) was designed as a minimally invasive resin infiltration system for treating incipient caries in patients of all. icon vestibular provides a simple treatment option for discolouration on smooth surfaces. Etching for 2 minutes (maybe longer when etching smooth surfaces),. the actual infiltration treatment includes the following steps: the use of elastic separators prior to proximal infiltration of primary enamel lesions. The infiltration concept (icon) is a very effective treatment to prevent further progression. infiltration treatment with icon vestibular is a simple, gentle and effective procedure for treating white spots caused by caries,. Thanks to microinvasive infiltration with a highly fluid.
From www.techdent.cl
Resina Infiltrante ICON DMG Techdent Dmg Resin Infiltration The infiltration concept (icon) is a very effective treatment to prevent further progression. Etching for 2 minutes (maybe longer when etching smooth surfaces),. Thanks to microinvasive infiltration with a highly fluid. icon vestibular provides a simple treatment option for discolouration on smooth surfaces. the icon (infiltration concept) was designed as a minimally invasive resin infiltration system for treating. Dmg Resin Infiltration.
From www.atlasdental.ca
Icon Resin Infiltration Atlas Dental Dmg Resin Infiltration Etching for 2 minutes (maybe longer when etching smooth surfaces),. The infiltration concept (icon) is a very effective treatment to prevent further progression. icon represents a revolutionary new approach to treat incipient caries: the icon (infiltration concept) was designed as a minimally invasive resin infiltration system for treating incipient caries in patients of all. icon vestibular provides. Dmg Resin Infiltration.
From www.clarencetam.co.nz
DMG Icon Resin Infiltration White Spot Lesions Dmg Resin Infiltration the actual infiltration treatment includes the following steps: the icon (infiltration concept) was designed as a minimally invasive resin infiltration system for treating incipient caries in patients of all. icon proximal enables caries treatment without drilling and without the unnecessary loss of healthy tooth structure. The infiltration concept (icon) is a very effective treatment to prevent further. Dmg Resin Infiltration.
From www.youtube.com
Management of White spot lesion .Resin Infiltration Technique using Dmg Resin Infiltration icon represents a revolutionary new approach to treat incipient caries: the actual infiltration treatment includes the following steps: infiltration treatment with icon vestibular is a simple, gentle and effective procedure for treating white spots caused by caries,. icon proximal enables caries treatment without drilling and without the unnecessary loss of healthy tooth structure. the use. Dmg Resin Infiltration.
From www.youtube.com
Icon Resin Infiltration Minimally Invasive Dentistry Protocol White Dmg Resin Infiltration Etching for 2 minutes (maybe longer when etching smooth surfaces),. infiltration treatment with icon vestibular is a simple, gentle and effective procedure for treating white spots caused by caries,. icon represents a revolutionary new approach to treat incipient caries: the use of elastic separators prior to proximal infiltration of primary enamel lesions. icon proximal enables caries. Dmg Resin Infiltration.
From informacionpublica2021.svet.gob.gt
Icon DMG Dental Caries Infiltrant Proximal Lesions Tooth, 58 OFF Dmg Resin Infiltration the actual infiltration treatment includes the following steps: Etching for 2 minutes (maybe longer when etching smooth surfaces),. icon proximal enables caries treatment without drilling and without the unnecessary loss of healthy tooth structure. Thanks to microinvasive infiltration with a highly fluid. icon vestibular provides a simple treatment option for discolouration on smooth surfaces. The infiltration concept. Dmg Resin Infiltration.
From www.balmoraldental.com.au
Infiltration Resin Best White Spot Lesion Treatment Dmg Resin Infiltration Thanks to microinvasive infiltration with a highly fluid. infiltration treatment with icon vestibular is a simple, gentle and effective procedure for treating white spots caused by caries,. The infiltration concept (icon) is a very effective treatment to prevent further progression. the icon (infiltration concept) was designed as a minimally invasive resin infiltration system for treating incipient caries in. Dmg Resin Infiltration.
From dmg-connect.com
Clinical Tip Resin Infiltration DMG America Dmg Resin Infiltration icon proximal enables caries treatment without drilling and without the unnecessary loss of healthy tooth structure. icon represents a revolutionary new approach to treat incipient caries: the use of elastic separators prior to proximal infiltration of primary enamel lesions. Thanks to microinvasive infiltration with a highly fluid. the actual infiltration treatment includes the following steps: . Dmg Resin Infiltration.
From dmg-connect.com
Resin Infiltration in the Treatment of MIH Lesions in Anterior Teeth in Dmg Resin Infiltration icon vestibular provides a simple treatment option for discolouration on smooth surfaces. The infiltration concept (icon) is a very effective treatment to prevent further progression. Thanks to microinvasive infiltration with a highly fluid. icon represents a revolutionary new approach to treat incipient caries: the icon (infiltration concept) was designed as a minimally invasive resin infiltration system for. Dmg Resin Infiltration.
From dmg-connect.com
Treatment of anterior discoloration with resin infiltration DMG America Dmg Resin Infiltration the use of elastic separators prior to proximal infiltration of primary enamel lesions. icon vestibular provides a simple treatment option for discolouration on smooth surfaces. Thanks to microinvasive infiltration with a highly fluid. The infiltration concept (icon) is a very effective treatment to prevent further progression. the icon (infiltration concept) was designed as a minimally invasive resin. Dmg Resin Infiltration.
From dmg-connect.com
Resin Infiltration Archives DMG America Dmg Resin Infiltration the use of elastic separators prior to proximal infiltration of primary enamel lesions. the icon (infiltration concept) was designed as a minimally invasive resin infiltration system for treating incipient caries in patients of all. the actual infiltration treatment includes the following steps: Etching for 2 minutes (maybe longer when etching smooth surfaces),. infiltration treatment with icon. Dmg Resin Infiltration.
From dmg-connect.com
Resin Infiltration Archives DMG America Dmg Resin Infiltration icon proximal enables caries treatment without drilling and without the unnecessary loss of healthy tooth structure. infiltration treatment with icon vestibular is a simple, gentle and effective procedure for treating white spots caused by caries,. Thanks to microinvasive infiltration with a highly fluid. The infiltration concept (icon) is a very effective treatment to prevent further progression. icon. Dmg Resin Infiltration.
From www.dmg-dental.com
Icon Online Convention DMG presents a webinar event on resin infiltration. Dmg Resin Infiltration The infiltration concept (icon) is a very effective treatment to prevent further progression. icon proximal enables caries treatment without drilling and without the unnecessary loss of healthy tooth structure. the actual infiltration treatment includes the following steps: Etching for 2 minutes (maybe longer when etching smooth surfaces),. the use of elastic separators prior to proximal infiltration of. Dmg Resin Infiltration.
From www.researchgate.net
(PDF) Management of postorthodontic WhiteSpotLesions Clinical Dmg Resin Infiltration infiltration treatment with icon vestibular is a simple, gentle and effective procedure for treating white spots caused by caries,. Etching for 2 minutes (maybe longer when etching smooth surfaces),. icon represents a revolutionary new approach to treat incipient caries: the icon (infiltration concept) was designed as a minimally invasive resin infiltration system for treating incipient caries in. Dmg Resin Infiltration.
From www.semanticscholar.org
Figure 3 from Management of postorthodontic WhiteSpotLesions Dmg Resin Infiltration infiltration treatment with icon vestibular is a simple, gentle and effective procedure for treating white spots caused by caries,. icon vestibular provides a simple treatment option for discolouration on smooth surfaces. icon represents a revolutionary new approach to treat incipient caries: Etching for 2 minutes (maybe longer when etching smooth surfaces),. the icon (infiltration concept) was. Dmg Resin Infiltration.
From www.semanticscholar.org
Figure 2 from Management of postorthodontic WhiteSpotLesions Dmg Resin Infiltration icon proximal enables caries treatment without drilling and without the unnecessary loss of healthy tooth structure. Thanks to microinvasive infiltration with a highly fluid. The infiltration concept (icon) is a very effective treatment to prevent further progression. the actual infiltration treatment includes the following steps: Etching for 2 minutes (maybe longer when etching smooth surfaces),. icon vestibular. Dmg Resin Infiltration.
From www.clarencetam.co.nz
DMG Icon Resin Infiltration White Spot Treatment Dmg Resin Infiltration icon proximal enables caries treatment without drilling and without the unnecessary loss of healthy tooth structure. the icon (infiltration concept) was designed as a minimally invasive resin infiltration system for treating incipient caries in patients of all. the use of elastic separators prior to proximal infiltration of primary enamel lesions. icon vestibular provides a simple treatment. Dmg Resin Infiltration.
From www.semanticscholar.org
Figure 1 from White spot lesions Resin infiltration technique Dmg Resin Infiltration infiltration treatment with icon vestibular is a simple, gentle and effective procedure for treating white spots caused by caries,. the icon (infiltration concept) was designed as a minimally invasive resin infiltration system for treating incipient caries in patients of all. icon proximal enables caries treatment without drilling and without the unnecessary loss of healthy tooth structure. The. Dmg Resin Infiltration.